Las tareas de la investigación Prevalencia y severidad de fluorosis dental e identificación de factores de riesgo comprenden la realización de mediciones de fluoruros en el agua y bebidas envasadas de consumo en escolares de educación primaria y adolescentes, en las diferentes estaciones del año; mediciones de la prevalencia y severidad de fluorosis y caries dental en niños con la intensión de identificar los cambios a lo largo del seguimiento. A partir de estas comprobaciones, se determinó el riesgo a fluorosis dental asociado al consumo de bebidas con presencia de fluoruros. Además, se analizó el cepillado dental con dentífricos fluorados en diferentes concentraciones de flúor y se determinó que los niños con menor severidad de fluorosis dental presentaron menor experiencia de caries dental y mayor beneficio preventivo, comentó Molina Frechero.

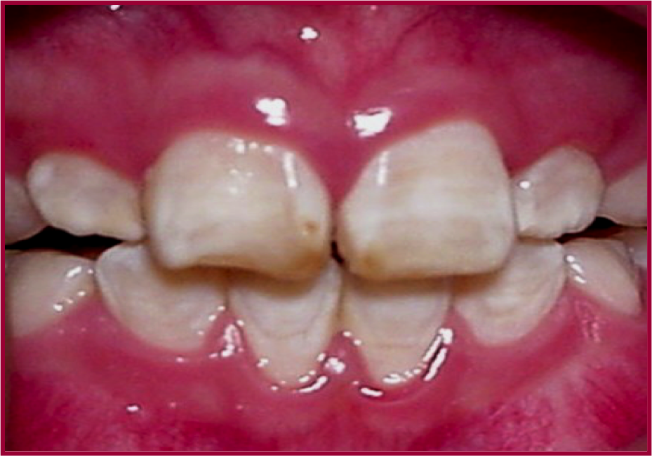
La investigación se aboca en determinar cómo la fluorosis dental es una patología que afecta a los tejidos duros del diente, en particular al esmalte, caracterizada por hipomineralización (fragilidad del esmalte dentario) provocando alteraciones en su aspecto translúcido y, en niveles de mayor severidad, perdida de la estructura del esmalte.
Desde décadas atrás, con el objetivo de prevenir la caries dental, se ha incrementado la presencia de diversos productos fluorados que han ocasionado el incremento de fluorosis dental, manifestándose en diferentes grados de severidad. El flúor, cuando se ingiere en pequeñas cantidades –menores a 0.7 ppm– es benéfico para promover la salud dental al reducir las caries; sin embargo, concentraciones más altas a 1 ppm pueden causar fluorosis, lo que provoca efectos adversos a la salud. Este trastorno es la primera señal visible de que un niño ha sido sobrexpuesto al flúor.
En la zona de la población estudiada, además del agua con exceso de flúor, se distribuye la sal fluorada y la gente la usa en la elaboración de los alimentos que los niños consumen. Por lo tanto, para la higiene bucal no hay nada mejor que la utilización de dentífricos fluorados, ya que constituyen la mejor medida para la prevención de la caries dental y la progresión de caries incipientes.
